Before & After

Check out our photographic before & after smile gallery of patients who have all undergone cosmetic dental treatments at the Watercress Dental Clinic.

COMPOSITE BONDING / CIPPED TEETH

Cosmetic composite filling

BEFORE: Discolored composite filling upper incisor, before treatment

Old type of composite resin filling can wear and discolor, resulting in an un-natural look, choosing the right color of composite is also a crucial aspect of the restorative process
 

AFTER: Upper incisor after treatment.

The discolored worn composite filling has been replaced with a nano-filled composite resin (Filtek supreme) . Nano filled composite resins are particularly suitable for restoring anterior teeth as they achieve a smooth glossy, natural look and resist the wear and discoloration 

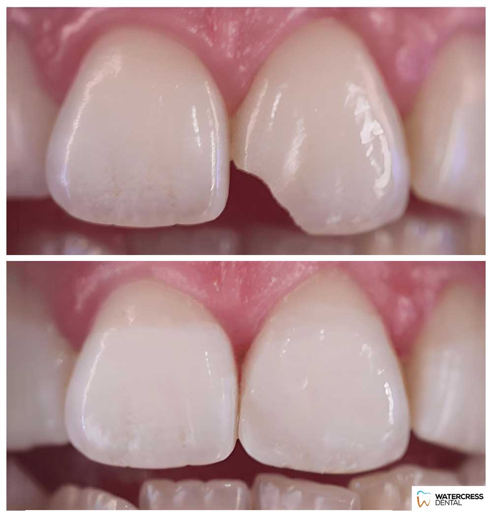
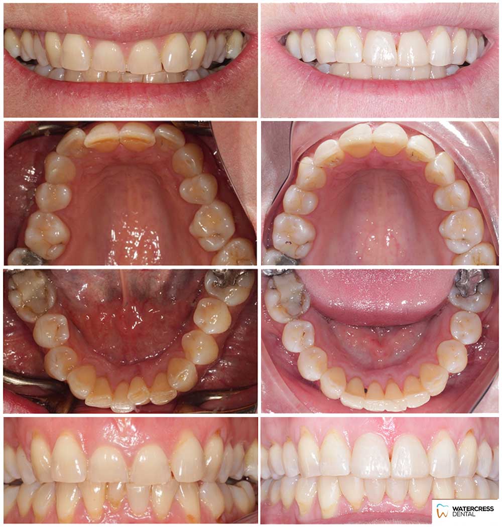
Composite build up for chipped teeth

BEFORE: Chipped central incisors before treatment

The chipping was due to erosion ( wear process due to acids) and attrition ( wear by friction).


AFTER: Chipped central incisors after treatment

The worn teeth have been restored with composite filling material without any drilling of tooth structure (sharp edges were simply smoothed with polishing discs before bonding the composite resin onto them)

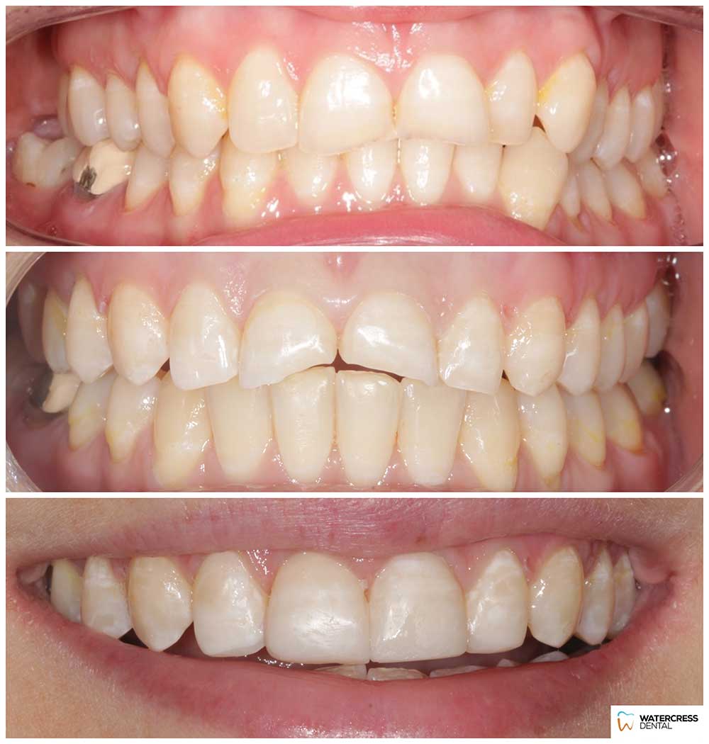
Composite restoration of fractured teeth

Fractured upper incisor after treatment

Incisor fractured due to trauma, rebuilt free hand with different shades of composite (“HFO”, layered technique)

Treatment of stained teeth with Microabrasion

BEFORE: Stained teeth (Fluorosis) before treatment

Case of fluorosis treated with micro abrasion

 

AFTER: After Microabrasion

After treatment with macro abrasion ( no drilling)

Maryland Bridge to fill the gap and composite fillings for the worn lower incisors.

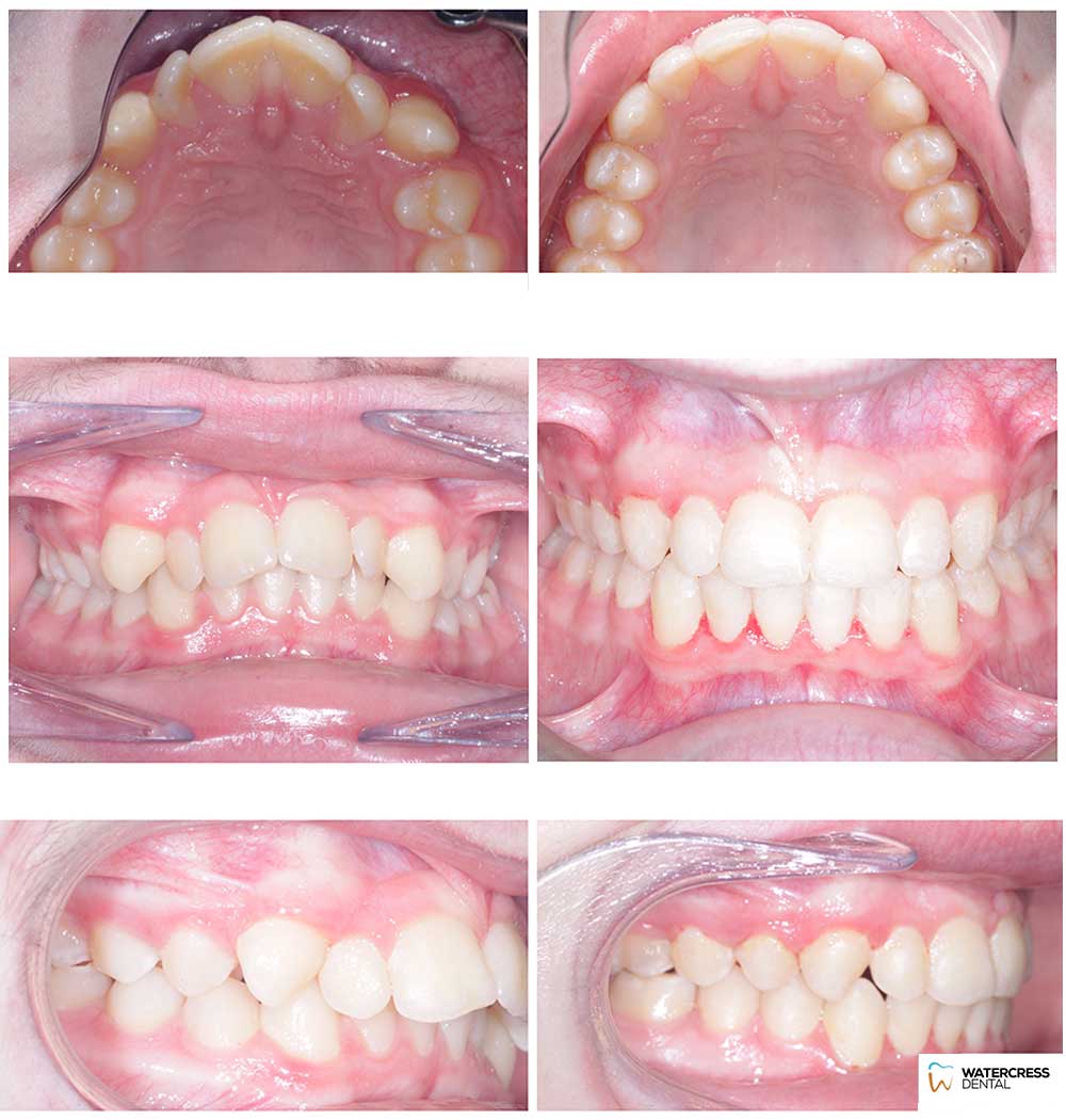
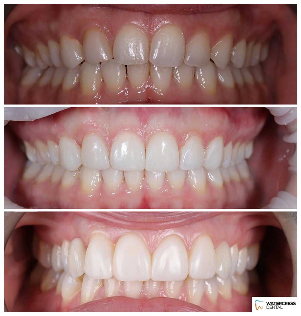
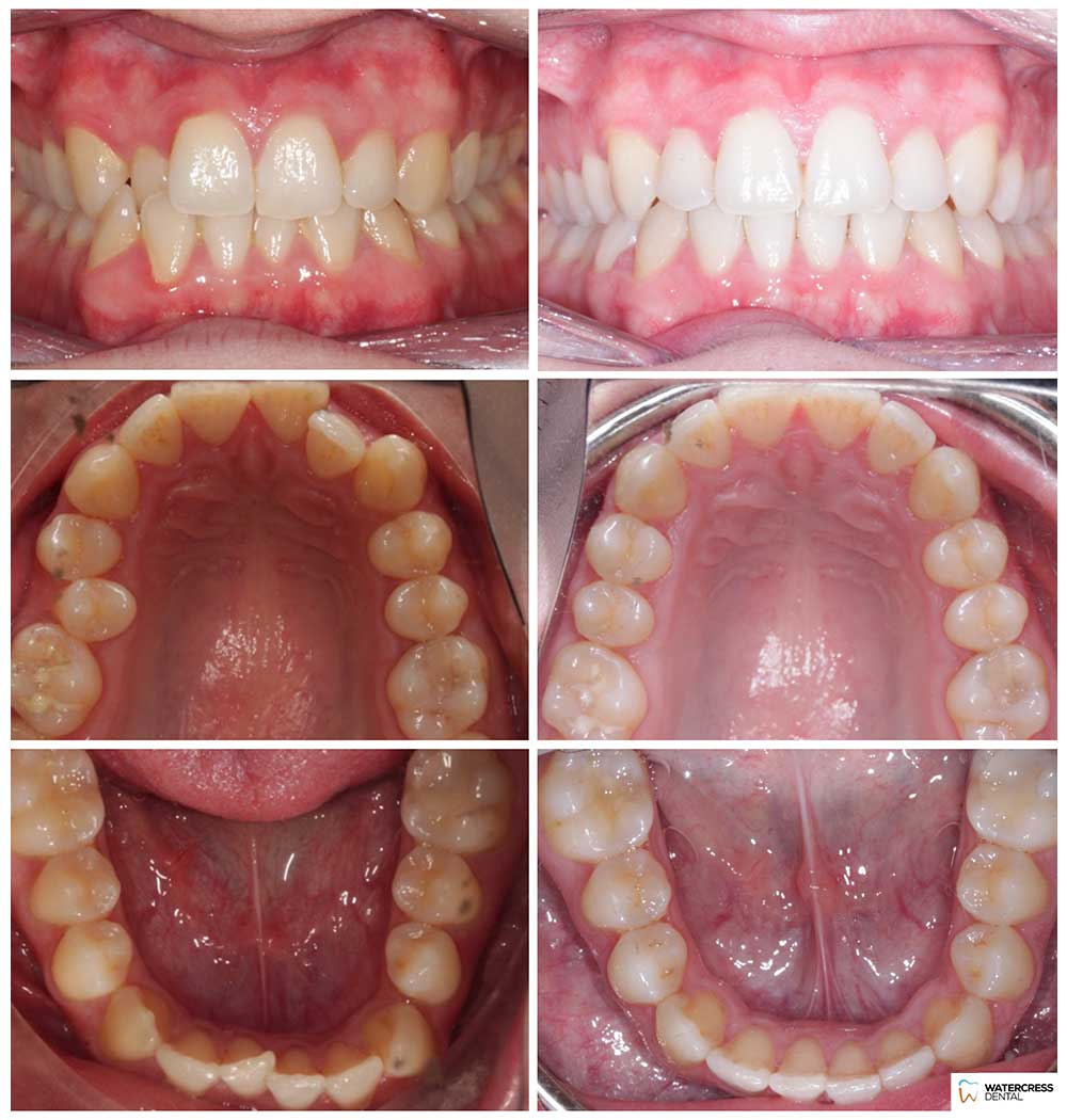
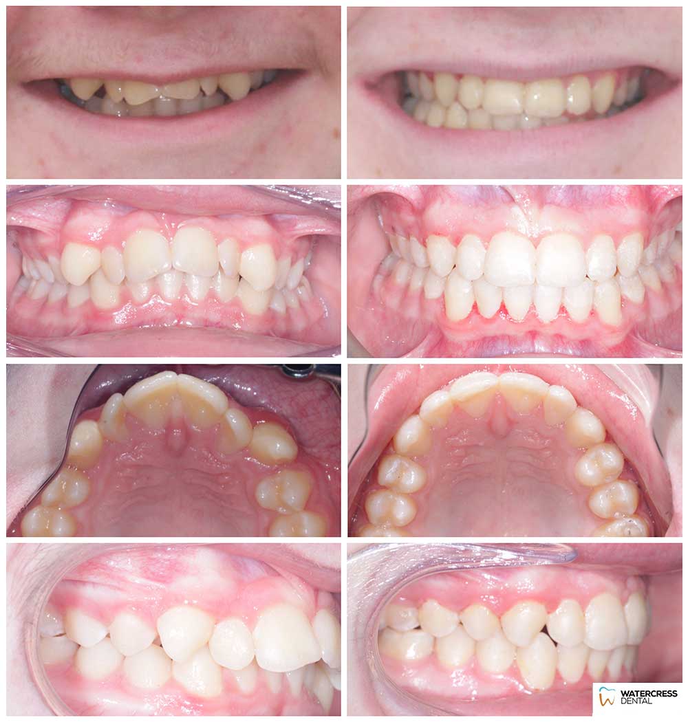
Anterior Crossbite correction

Discoloured margin of crowns corrected with the new crowns

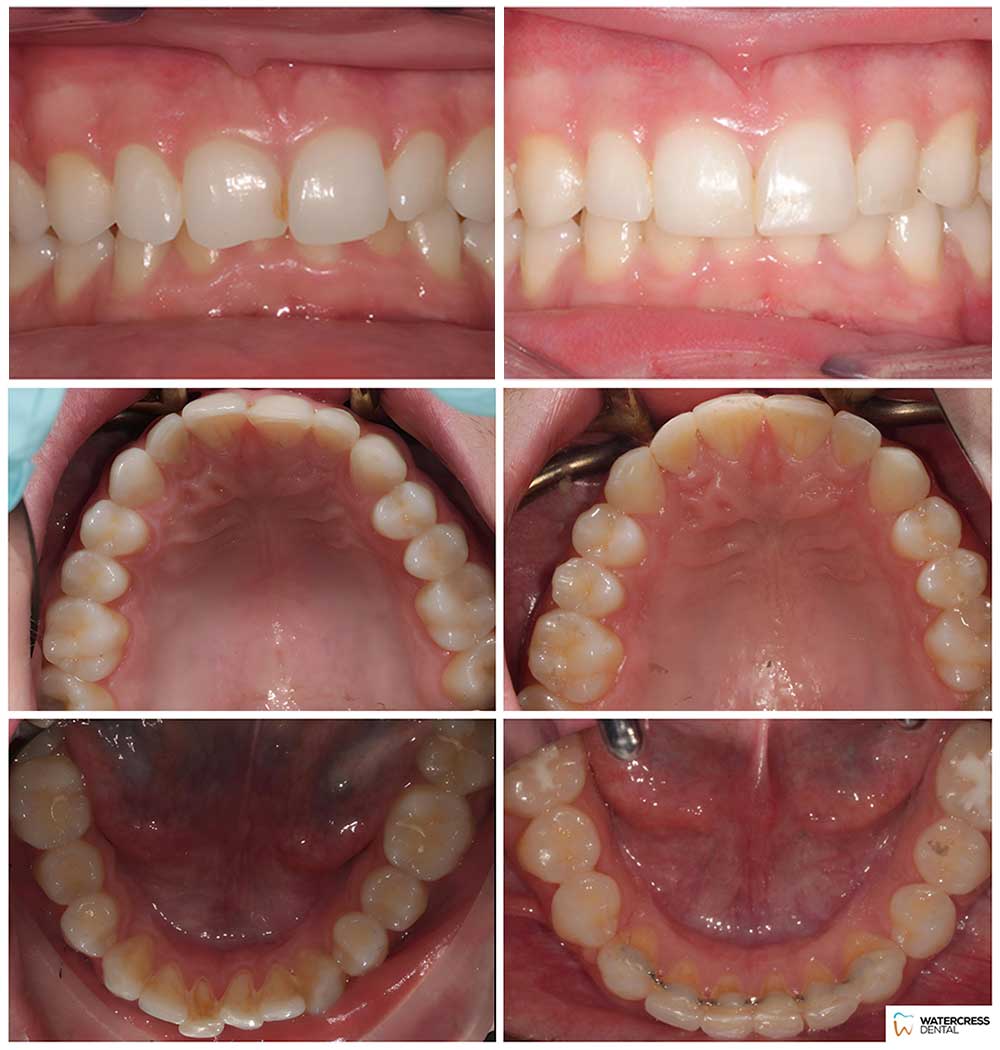
Diastema correction with a composite filling

UL2 Crown

Internal bleaching of UL1and Teeth whitening

Composite fillings for the Smile Correction

Composite Filling

PHOTO 2022 01 18 21 21 08 Watercress Dental Clinic, Dentist in Alton Hampshire
composite fillings 3 Watercress Dental Clinic, Dentist in Alton Hampshire
composite fillings 4 Watercress Dental Clinic, Dentist in Alton Hampshire
ba Watercress Dental Clinic, Dentist in Alton Hampshire
ba2 Watercress Dental Clinic, Dentist in Alton Hampshire
Scroll to Top